BTL EXION

第五代膠原槍

BTL EXION

第五代膠原槍

BTL EXION™

了解更多

喚醒肌底年輕力‧重塑緊緻彈力肌

BTL EXION

黃金微針

BTL EXION

黃金微針

BTL EXION™

了解更多

重組真皮層組織‧修復問題肌膚

BTL EXION

標靶溶脂

BTL EXION

標靶溶脂

BTL EXION™

了解更多

精準擊破頑固脂肪細胞

BTL EXION™ 喚醒肌底年輕力‧重塑緊緻彈力肌

BTL EXION™

自生透明質酸+膠原蛋白+彈力蛋白

BTL EXION™第五代緊緻膠原槍是全球第一部以獨創標靶式專利單極射頻(Monopolar RF) 結合TUS超聲波 (Targeted Ultrasound)技術,雙能量同步輸出,重啟纖維母細胞回復年輕肌底活躍度,令肌膚「自生透明質酸、膠原蛋白及彈力蛋白」,撐起肌底,令肌膚更飽滿年輕!

專利 RF 單極射頻

  • 透過熱能刺激皮膚纖維母細胞,精準加熱真皮層(40-42°C)
  • 確保皮膚真皮層均勻加熱,促進自生膠原蛋白及透明質酸

TUS 定點超聲波技術

  • 透過機械能刺激皮膚纖維母細胞,啟動膠原自生過程
  • 確保網狀真皮層 (真皮最深層,有最多活躍成纖維母細胞) 加熱至42°C

BTL EXION™

醫學實證

醫學實證,4 次療程,透明質酸 +224%, 膠原蛋白+47%, 彈力蛋白 +50%, 改善膚質 +41%, 客人滿意度 +93%。

  • +224% 透明質酸
  • +47% 膠原蛋白
  • +50% 彈力蛋白
  • +40% 改善膚質
  • +98% 客人滿意度
  • FDA+CE 國際認證

Diane Duncan, M.D., FACS. Simultaneous Delivery of Radiofrequency and Targeted Ultrasound for Enhanced Hyaluronic Acid Production in the Skin.

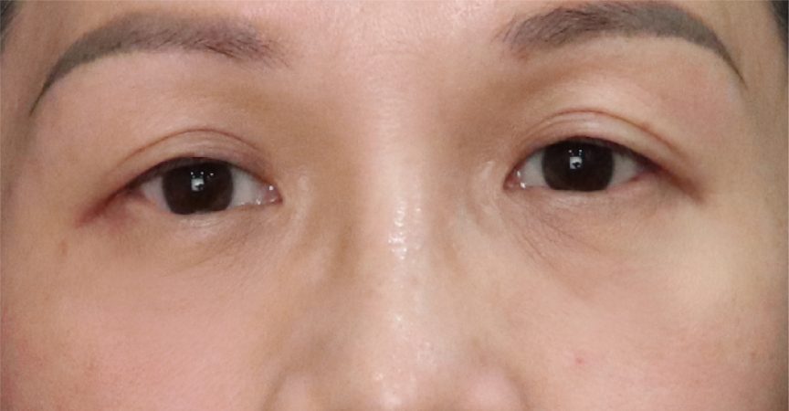
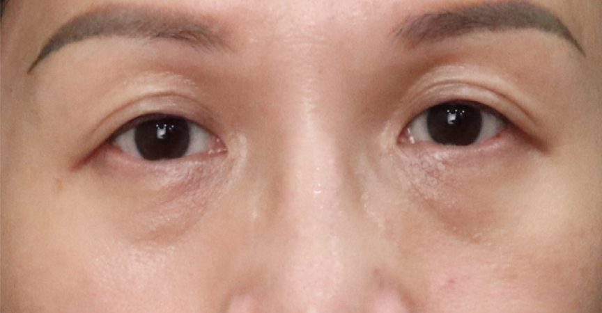
EXION 眼部療程效果

圖片及資料只供參考。療程效果及進度會因應個人之膚質、身體狀況及其他因素而有所不同。

療程前
療程後
療程前
療程後

EXION 面部療程效果

圖片及資料只供參考。療程效果及進度會因應個人之膚質、身體狀況及其他因素而有所不同。

療程前
療程後
療程前
療程後
療程前
療程後
療程前
療程後

You cannot copy content of this page